This profile has not been claimed by the business owner or representative.
to update business information, get appointment requests, engage visitors with web chat, and more!
239 2nd Ave S UNIT 100, St. Petersburg, FL, 33701, United States
Get directions| Weekday | Schedule | Status |
|---|---|---|
| Mon | 8:00 a.m. to 5:00 p.m. | |
| Tue | 8:00 a.m. to 5:00 p.m. | |
| Wed | 8:00 a.m. to 5:00 p.m. | |
| Thu | 7:00 a.m. to 4:00 p.m. | |
| Fri | Closed | |
| Sat | Closed | |
| Sun | Closed |
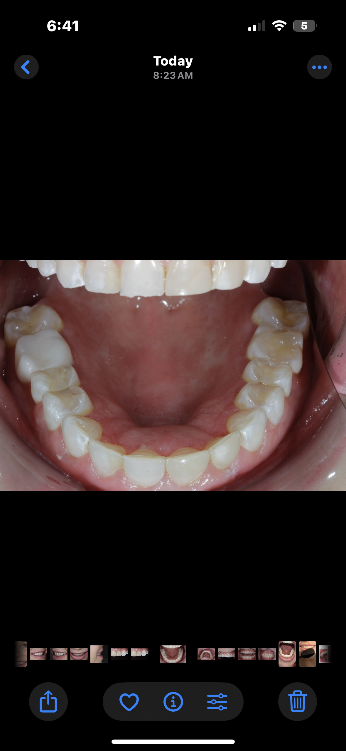
Also here is the mold I was shown prior to doing what was supposed to be just my 4 upper teeth and then this is what he gave me after he drilled off all my enamel and had to add toxic uncured composite resin that’s leaching into my tissue (currently) causing a massive inflammatory reaction in my mouth. My teeth are smaller and my bite is so jacked up. I was told I need to crown my entire mouth now to get the same width and shape of my teeth back. I was never informed he was going to be shaving all my enamel down making my mo... read more




Do not recommend. I came in for 4 top crowns/veneers due to discoloration and chipping. Dr will scott said he could do this and the first step was building up my bottom teeth with composites. Well he ended up shaving down my entire mouth of beautiful enamel. Attached pictures before and after below. I was devastated. Then he denied he shaved down my teeth. I did not consent to this . Now I have been quoted 60k to do my whole mouth and several other dentists agree this was wrong of him to do. My mouth looks closed in and ugl... read more


Jeff Scott Dentistry has a 4.9 star rating with 300 reviews.
Jeff Scott Dentistry is open now. It will close at 5:00 p.m.
Speak with a specialist to learn how you can grow with Birdeye. We are reachable at profiles@birdeye.com